Ústecký kraj – Lidé z Ústeckého kraje si mohou nechat zkontrolovat kondici svých plic. Plicní lékaři otevírají v ordinačních hodinách zájemcům dveře svých ambulancí, a to od 19. do 23. září v rámci Světového týdne Idiopatické plicní fibrózy (IPF).

V České republice je týden IPF spojen s touto aktivitou poprvé a plicní ambulance budou otevřeny ve všech krajích.
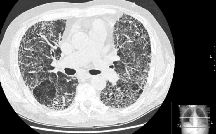
Důvodem, proč plicní lékaři zorganizovali dny otevřených ambulancí, je snaha odhalit zavčas zákeřnou nemoc, která ročně v České republice zabije desítky pacientů. Poškozuje plicní sklípky, jizví je – bere plochu k dýchání, plíce tuhnou a člověk se nemůže nadechnout. Postup nemoci brzdí léčba, která je v tuzemsku pouhých 5 let. Pacienti se k ní však často nedostanou, protože se nemoc odhalí pozdě.
„Lékař provede základní vyšetření, promluví si s návštěvníkem ambulance o potížích, zeptá se na rodinu a nemoci, jaké má koníčky, zda kouří a v jakém prostředí pracuje. Poté si příchozího poslechne, změří tlak, puls, nasycení kyslíkem, provede spirometrii – ta ukáže, jak plíce fungují, zjistí kapacitu plic. Součástí vyšetření je poslech – IPF je totiž možné jasně určit z charakteristického zvuku, připomínajícího odepínání suchého zipu," říká předsedkyně ambulantních pneumologů, MUDr. Ivana Čierná Peterová s tím, že doba vyšetření by neměla přesáhnout 20 minut. Pokud bude třeba, pošle lékař pacienta rentgen plic a další vyšetření. Seznam všech ambulancí, kde je možné prohlídku absolvovat, najdou lidé na www.plicnifibroza.cz.
Seznam ambulancí v Ústeckém kraji otevřených veřejnosti v rámci Světového týdne IPF:
• Teplice – MUDr. Stanislav Holub, Plicní středisko Teplice
• Ústí nad Labem – Prim. MUDr. Jarmila Fišerová, Masarykova nemocnice
• Ústí nad Labem – MUDr. Alena Kortusová, Plicní ambulance
"Velká část pacientů nepovažuje zpočátku pokašlávání a zadýchávání za příznak těžké nemoci, ale za projev stárnutí, ztrátu kondice, či následek kouření. Mohou oddalovat návštěvu lékaře, včasná diagnostika je však pro další průběh onemocnění zásadní," říká MUDr. Stanislav Holub z Plicního střediska Teplice, které se do akce v rámci Světového týdne IPF také zapojí.
Projevy IPF lékaři často zaměňují za chronickou obstrukční plicní nemoc, zápal plic či srdeční selhání. Bez správné léčby přitom IPF obvykle zabíjí do 3 let. S léčbou ale může pacient vzdorovat roky a zvyšuje se jeho šance, že se dočká transplantace plic.
Nemoc se ohlašuje zprvu nenápadně, člověk se začne zadýchávat do schodů, později i při chůzi či hovoru, v pokročilém stádiu má pocit nedostatku vzduchu při běžných denních činnostech a v závěru věnuje veškerou energii tomu, aby se nadechl. „Rychlost a včasnost diagnózy je pro další průběh nemoci naprosto klíčová. V časných a málo pokročilých fázích nemoci totiž dovedeme plicní fibrózu a úbytek plicních funkcí zpomalit podáním účinných léků. Proto by ambulantní lékaři měli při prvním podezření okamžitě pacienta odeslat do některého ze 17 Center pro diagnostiku a léčbu intersticiálních plicních procesů, kam nyní doputuje pouhá čtvrtina z odhadovaných 2 000 pacientů s IPF," doplňuje prof. MUDr. Martina Vašáková, PhD, přednostka Pneumologické kliniky 1. lékařské fakulty UK a Thomayerovy nemocnice v Praze a předsedkyně Sekce pro intersticiální plicní procesy (SIPP) České pneumologické a ftizeologické společnosti.
Odhadem nemocí ve světě trpí 5 milionů lidí. IPF se převážně vyskytuje u osob starších 45 let, spíše mužů. Důvody vzniku nemoci nejsou dosud známy.



